Accéder au contenu principal

Protocol
EXTERNAL ANAL MARGIN
&
PERIANAL AREA

hyperchromies of external anal margin and perianal area
divider-pulzinetti

Anatomical and Histological Notes

epidermal-thickness-intimate-areas

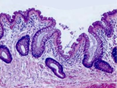
⚠️ Rectum

DO NOT PEEL
rectum-histology
  • internal mucosa
  • Risk of ulceration
  • Risk of infection
  • Risk of severe pain.

External Anal Margin

histology-external-anal-margin
  • keratinized
  • thick 90-100 um
  • dry
  • resistant

Perianal Area

histology-perianal-area
  • non-keratinized
  • thin 60-75 um
  • moist
  • highly sensitiv
  • transition zone
divider-pulzinetti

Acid Selection According to Skin Characteristics

When selecting the appropriate acids as depigmenting agents (‘color killers’), 3 key parameters must be considered: whether the target area is hydrophilic or lipophilic, the relative thinness or thickness of the tissue, and the overall safety profile.

 

  • Lipophilic areas → respond best to salicylic acid (BHA).

  • Thick epidermis → use solution formulations (e.g., TCA, salicylic acid in ethanol) → faster penetration.

  • Thin epidermis → use gel/cream formulations, slower penetration, and at lower concentrations for safety.

 

Hygrometric skin parameter

lipo-hydrophilic-initmate-areas

hydrophilic vs. lipophilic (determine whether the target area retains water or oil )

Epidermal depth

epidermal thickness of intimate areas

thin vs. thick (guides penetration and acid concentration)

Safety profile

safety parameter for external anal margin

avoid agents that could migrate beyond the target (e.g., do not use TCA on the external anal margin, as accidental spread into the rectum may cause injury)

External Anal Margin

Alternate 3 Acids

 The external anal margin is generally thicker and drier compared to the rest of the perianal skin

 This area has a tougher skin texture, which helps protect it from friction and abrasion

 

 

Perianal Area

Avoid TCA/Jessner’s

The perianal area is typically considered a dry area, as it has a low concentration of sebaceous (oil-producing) glands

However, it can become moist due to sweat, mucus, or hygiene-related factors

 The skin in this area can be sensitive, so it's important to maintain proper hygiene without causing irritation

divider-pulzinetti

Attack Treatment 1st & Other Sessions

 
  • Step 1 : Cleansing with ASEPTISKIN
  • Step 2 : Applying the Color Killers Acids
  • Step 3 : Peeling de Luxe Plus
  • Step 4 : StretchPeel
  • Step 5 : Les Félins

Step 1 :Cleansing with ASEPTISKIN:
Begin with a thorough cleanse to remove any makeup, oils, and impurities from the skin.
This ensures that the peeling agents can penetrate effectively.
Use a gentle, non-exfoliating cleanser to avoid stripping the skin.

 

acid-bottle

Step 2 :Applying the Color Killers Acids 

  • If you have extensive experience and control over the depth (like you do), here’s how to consider their use — especially regarding the vehicle.

TCA

  Use with extreme caution:

  • Even low concentrations can trigger rebound (especially if TCA is buffered)

  • TCA for those indications is not first-line unless:

    • Combined with metabolic peels (e.g., Peeling de Luxe Plus) to control depth and inflammation

➡️ Recommendation:

  • Only apply as a colorkiller treatment, followed immediately by Peeling de Luxe Plus once the frosting covering the pigmented color is reached out.

Salicylic Acid

Use with caution:

  • Vehicle:

    • In ethanol → Better penetration, but higher irritation.

    • In glycerolSafer, more controlled release

➡️ Recommendation: Salicylic acid  in glycerol can be effective, especially when combined with melanin synthesis inhibitors (e.g.  kojic acid, like StretchPeel ) before and after the peel.

 

Step 3 : Peeling de Luxe Plus  (Frosting Stopper)

The following key points should be observed:

  1. Frosting Appearance for the Lesion Area:
    The frosting must appear white and should completely cover the lesion area.
    To achieve this, a highly concentrated acid  is required.
    Do not use our frosting stopper on the Lesion Area during Frosting !
    Wait the Defrosting to apply it on the Lesion Area .

  2. Frosting Control for the Narrow Peri-Wound Area:
    If the frosting turns white in the narrow peri-wound area adjacent to the lesion, it should be stopped using our frosting stopper.
    This can be managed with a less concentrated acid, although it will still induce frosting.

  3. No Frosting for the Larger Area Surrounding the peri-wound area:
    For the larger surrounding area around the peri-wound, a low-concentration acid should be applied.
    This concentration should be sufficient to avoid frosting in the area.
    There is mostly no need to use the frosting stopper in the larger area surrounding the narrow peri wound area 

Step 4 : Stretchpeel  (Depigmentant Cream) 

Apply it 
- on The Lesion Area , above Peeling de Luxe Plus after defrosting
- Apply it to the narrow peri-wound area immediately after using Peeling de Plus, and again over it once the gray frosting appears. 

Step 5 : Les Félins  (Moisturizing Cream)

Apply it on the Larger Area Surrounding the peri-wound area.
Apply Les Félins non-greasy, fast-absorbing moisturizing cream to the untreated areas to ensure consistent hydration across both treated and untreated zones.

6 sessions p- 1 session each 2 weeks

 Timeline & Management

Please repeat each session, following all steps, once each 2- 3 weeks  for 6 sessions ( average)

Ideally, the procedure should be scheduled at least three days before a period of sexual abstinence. 

 

divider-pulzinetti

Between the Sessions

dont panic

It is normal to experience sometimes a socially noticeable appearance for about three days following the initial session, known as the attack phase of the treatment. It is especially important not to panic during this period.

This temporary appearance often seems worse than before, particularly around the third day after both the first and second sessions. However, by the third day following the third session, any remaining discoloration (dyschromia) typically does not warrant social withdrawal. By the third day after the fourth session—the skin generally appears almost entirely free of visible discoloration.

It is crucial that the patient continues with the full course of treatment, regardless of temporary setbacks.

Interrupting the treatment or switching physicians mid-process can result in outcomes that are worse than the initial condition and may persist for a significantly longer period. At this stage, patient responsibility is key.

Additionally, it is essential that the patient refrains from using any personal cosmetic creams during the treatment period.

Lipoic Acid Cream offers significant benefits in clinical and aesthetic applications. Lipoic acid is known for its ability to enhance the transdermal penetration of active ingredients, facilitating their delivery into the deeper layers of the epidermis and dermis.

Recommended Combinations:

  • For deeper hyperpigmentation: Combine with StretchPeel (Depigmenting Cream) to optimize depigmenting effects beyond the superficial layers.

  • For dehydration of the deeper skin layers or in mature skin: Combine with Les Félins (Moisturizing Cream) to restore hydration and improve skin resilience.

This targeted approach allows for more effective and personalized treatment protocols based on individual skin conditions.

Stretchpeel is the ultimate depigmenting cream, thanks to its carefully selected ingredients and its alcohol-free formulation. It does not contain hydroquinone—a drug often associated with complications such as hypochromia.

As stated by Dr. Alain Tenenbaum and Mr. Mauro Tiziani, the goal is not to erase color variations, but to transform the mosaic of skin tones (hyperpigmentation) into a harmonious balance of intime areas complexion.

Les Félins Moisturizing Cream truly deserves its name, as it is designed to help prevent your dyschromia from turning into feline-like spots. This product has the advantage of being non-greasy and absorbing much faster than other moisturizing creams. It is alcohol-free and contains no ingredients that could cause complications.

You can apply this cream as often as you like, with no limitations.

no-sun
stop-perfumes
stop cosmetics
divider-pulzinetti

HomeCare & SunCare

HomeCare

Why Les Félins as moisturizer is necessary after a peel (as part of homecare):

  1. To rehydrate the skin:
    A peel removes part of the stratum corneum (the skin’s outermost layer), which temporarily reduces the skin’s ability to retain moisture. This leads to dryness and sensitivity. A moisturizer helps restore lost hydration.

  2. To strengthen the skin barrier:
    Hydrating ingredients help rebuild the skin’s protective lipid barrier, reducing irritation, redness, and tightness.

  3. To minimize excessive flaking:
    While some flaking is normal after a peel, moisturizing the skin helps reduce discomfort and makes the process more tolerable and discreet.

  4. To support cellular regeneration:
    Well-hydrated skin heals faster and supports more efficient cell turnover, optimizing the benefits of the peel.

PostPeel

 Why a post-peel cream is often recommended:

  1. Specially formulated:
    Post-peel cream typically contains soothing and restorative ingredients (like panthenol). They are free from irritants such as alcohol, fragrance, or harsh preservatives.

  2. To prevent complications:
    Using appropriate post-peel care helps reduce the risk of irritation, inflammation, or post-inflammatory hyperpigmentation—especially important for sensitive or darker skin tones.

  3. To enhance results:
    Proper post-treatment care maintains and prolongs the benefits of the peel, including improved radiance, smoother skin texture, and a more even tone.

SunCare

  • Why an alcohol free sunscreen is essential :

    Daily sun protection (broad-spectrum like Stretchpeel) is essential for several weeks to months following a peel.

  • Avoid harsh products such as retinoids, acids, or exfoliants during the skin’s recovery phase.

stop-cosmetics
divider pulzinetti

Maintenance Treatment

1. Regular  Follow-Up ( each 9-12 months)

  • Monitor pigmentation changes.

  • Evaluate if additional peels or other treatments are appropriate.

2. Lifestyle & Triggers

  • Avoid heat exposure (saunas, hot yoga).

  • Limit hormonal triggers (e.g., oral contraceptives, if relevant).

  • Treat underlying  inflammation, which can worsen pigmentation.

no-sun
stop-perfumes
stop cosmetics
divider-pulzinetti

Prevention Treatment

How to Prevent Hyperpigmentation  

Hyperpigmentation is a common skin concerns caused by excess melanin production, often triggered by sun exposure, hormones, or inflammation. The best way to manage these conditions is through consistent prevention. Here's how to protect your skin and reduce the risk of uneven tone:

 

1. Use Gentle, Skin-Friendly Products

Harsh or irritating products can worsen pigmentation and damage your skin barrier.

  • Cleanse Gently: Use a mild, non-stripping cleanser like Aseptiskin

  • Avoid Irritants: Stay away from products with alcohol, fragrance, or abrasive exfoliants. (more than 98.9% of cosmetics an sunscreens are damaging your skin)

  • Moisturize Daily: Keep your skin hydrated with Les Félins that support barrier health.

2. Be Mindful of Hormonal Triggers

Intime Areas Hyperpigmentation is often linked to hormonal changes such as pregnancy, birth control use, or hormone therapy.

  • Talk to Your Healthcare Provider If you're noticing skin changes related to medications or hormones.

3. Incorporate Preventative Skincare Ingredients ( Les Félins)

Certain ingredients can help regulate melanin production and prevent discoloration.

  • Niacinamide (Vitamin B3) – Helps reduce pigment transfer and inflammation.

  • Vitamin C – A powerful antioxidant that brightens and protects the skin.

  • Azelaic Acid – Calms inflammation and helps fade dark spots.

  • Tranexamic Acid

  • Arbutin and Licorice Extract – Natural brighteners that support an even skin tone.

4. Support Skin Health Through Lifestyle

  • Don’t Pick at Skin: Picking, scratching, or over-exfoliating can lead to post-inflammatory hyperpigmentation.

  • Manage Stress: Chronic stress can affect hormone levels and skin health.

  • Eat a Balanced Diet: A diet rich in antioxidants supports overall skin resilience.

5.What to Avoid

  • Tanning beds and prolonged sun exposure

  • Unsupervised use of strong medical treatments like hydroquinone or topical steroids

divider-pulzinetti

Emergency Management

Severe pain or
rectal involvement

 

  • Oral analgesics (NSAIDs or acetaminophen, depending on patient profile)
  • Add a barrier/protective agent:

    • Zinc oxide ointment

    • or Dexpanthenol ointment (rectal formulation if available).

  • Apply a topical greasy antibiotic ointment into such as:

    • Oxytetracycline ointment (if available for rectal use).

    • Alternative: gentamicin or fusidic acid ointment.

  • Discontinue Protocol
  • Refer for Proctology Evaluation

Marked erythema or
edema

  • Apply low-potency topical corticosteroid

Superficial erosion or
ulceration

  • Zinc oxide
  • Apply topical antibiotic ointment , especially if exudative.
divider-pulzinetti

Results

1st results metabolic peel on perianal area on D0 -D3
1Session- D0-D3-D10
1st-session-perianalpeel-D0-D3-D10-D17

Share this website on your social medias
cream2-eye-contour
pdl-plus
cream-felins
cream-gradient
cream2-microabrasive
cream-ormes-des-sioux
cream-papaya
cream-postpeel
cream-prepeel
cream-rose-du-desert
cream-stretchpeel
cream-peel-superstar
cream2-kosmopeel
cream2-lipoic-acid
cream2-eye-contour
pdl-plus
cream-felins
cream-gradient
cream2-microabrasive
cream-ormes-des-sioux
cream-papaya
cream-postpeel
cream-prepeel
cream-rose-du-desert
cream-stretchpeel
cream-peel-superstar
cream2-kosmopeel
cream2-lipoic-acid